Qualitativ hochwertige und günstige Zahnbehandlung
Ungarn - Mosonmagyaróvár
an Dr. Peter Szanto: +36 30 3352 722
an Dr. Zsolt Horváth: +36 30 1533 084
Besuchen Sie uns, lernen Sie unsere Praxis kennen, überzeugen Sie sich von der Professionalität unserer Mitarbeiter und fragen Sie nach einer unentgeltlichen Konsultation!
 
Über uns Leistungen Preise Garantie Kontakt
Das Team
Galerie
Neuigkeiten
Dokumente zum Ausfüllen
Kontakt
Anreise

 

 

 
Galerie 1 2 3 4 ... zurück weiter ...
Zahnprothese mit Klammer
Brückenersatz
Zahnimplantate 1
Zahnimplantate 2
Keramikschalen 1
Keramikschalen 2    
Keramikinlay
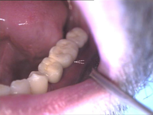
Keramikkrone 1
Keramikkrone 2
 
Zurück auf die Startseite
Copyright © 2010 Mundart Kft. Jegliche Weiterverwendung von Bildern, Texten oder sonstigen Teilen der
Broschüre ohne die schriftliche Erlaubnis des Autors oder des Verlags ist untersagt.